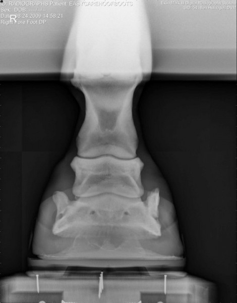
Společnost EasyCare si dělá vlastní průzkumy-výzkumy… zde jsou zajímavé fotografie jak to vypadá když je kopýtko v botě, zůstává ve svém přirozeném tvaru, kopytní mechanismus je neomezený a kůň ho má možnost plně přirozeně využívat 🙂